Traumatologia orale
Traumi su denti decidui spesso sottovalutati potrebbero avere delle importanti conseguenze.
Si consiglia sempre un consulto pedodontico per definire l’entità del trauma stesso e le possibili sequele nel futuro.
Avere delle informazioni a riguardo è fondamentale per i genitori che sapranno cosa aspettarsi e come agire.
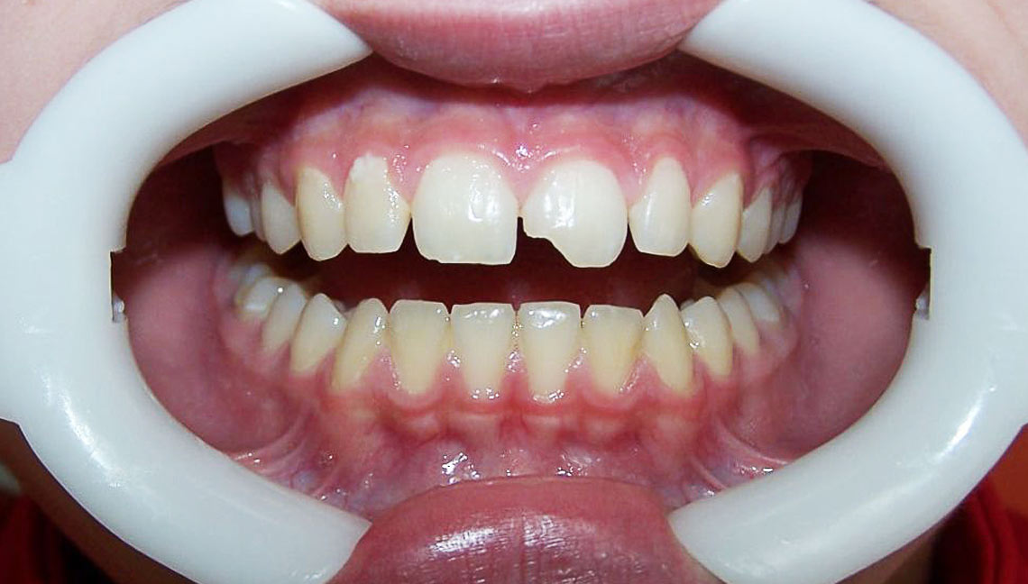
Traumi su elementi dentari permanenti che possono andare dalla semplice scalfittura coronale fino alla completa perdita del dente, necessitano di una immediata visita odontoiatrica che permetta di intervenire in modo appropriato il prima possibile.

